AZD9291耐药后T970M-C797S顺式突变真实临床案例报道
大约有30%-50%的亚洲NSCLC患者携带EGFR突变,目前1代EGFR靶向药对这类突变患者的临床疗效比传统含铂化疗的疗效更好,可以有效延长PFS。然而,大部分患者可在用药1-2年后发生耐药,主要原因为20外显子T790M的突变。针对耐药后T790M突变型患者的王牌药为奥希替尼(AZD9291)。该药可以与797位点的半胱氨酸结合来发挥作,但9291使用后常出现的C797S突变能阻断该结合位点,导致9291失效。
而C797S突变分为顺式突变和反式突变,对于反式突变,可以采用一代联三代的治疗方法。但对于顺式突变,目前还没有成熟的临床结果,最近的临床前研究证实了布加替尼联合抗EGFR抗体对C797S顺式突变的疗效。在此,小编带大家看看国内报道的首个证实布加替尼联合西妥昔单抗对EGFR、T790M和C797S顺式突变肺腺癌疗效的案例。
初诊
患者,女,62岁,无吸烟史,2013年5月因胸腔积液入院检查并治疗,被确诊为Ⅳ期肺腺癌。

化疗,一代TKI治疗后,病情依旧进展
患者先进行化疗,基因检测显示为EGFR 19号外显子缺失,开始使用一代TKI药物治疗。一代TKI耐药后,发现患者出现T790M突变。

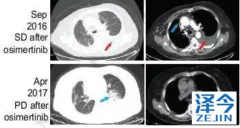
奥西替尼AZD9291治疗,病情稳定一段时间后,继续进展
因此,患者开始接受每日80mg的奥西替尼AZD9291治疗,患者在一个月内达到了病情稳定(SD),CA125水平迅速下降,经过8个月的无进展生存期,患者肺左下叶出现新的病灶,胸腔积液增多,病情发展。


布加替尼联合西妥昔单抗治疗,病情长期稳定控制
患者再次基因检测发现T790M-C797S顺式突变,因此在2017年7月开始联合使用布加替尼(90mg/日)和西妥昔单抗(600mg/月),治疗一个月时,患者的疲劳和呼吸困难明显改善,CA125水平明显下降,直到2018年4月病情一直稳定(PFS为9个月),除了轻度疲劳外无其他的不良反应。虽然在2018年4月患者出现脑转移灶,但在2018年9月,患者的胸部病灶依旧得到很好的控制。




总结
布加替尼是EGFR、ALK的双靶点药物,研究表明,这个药物能与EGFR三重突变(19del或L858R /T790M /C797S)蛋白的ATP结合口袋匹配,在与EGFR蛋白抗体西妥昔单抗(2017年的Nature报道证实了对三突变动物模型的抗肿瘤疗效)或帕尼单抗联合使用的情况下,能有效减少肿瘤细胞表面及总的EGFR的表达,解决C797S顺式突变导致的三代TKI靶向药物AZD9291的耐药问题。
西妥昔单抗与EGFR结合阻断磷酸化和与受体相关激酶的激活,从而抑制细胞生长,诱导凋亡,减少基质金属蛋白酶和血管上皮生长因子的产生。西妥昔单抗还可以使细胞膜表面的EGFR内化,表达量下调。西妥昔单抗联合布加替尼,可以增强布加替尼对EGFR Del19/T790M/C797S顺式突变的活性。
基于上述的理论,国内的研究者首次提出了布加替尼和西妥昔单抗治疗19del /T790M /顺式C797S三突变肺癌的有效临床案例,PFS达到了9个月,疗效显著,毒性也较小。
参考文献:
Case Report: Lung Adenocarcinoma Harboring EGFR-19del/C797S/T790M Triple Mutations Responds to Brigatinib and Anti-EGFR Antibody Combination Therapy
扫描二维码分享到微信