靶向药降价通知:上海泽今健康提供泰瑞沙(AZD9291),
乐伐替尼(仑伐替尼,E7080,Lenvima),哌柏西利,卡博替尼等靶向药物信息资讯,价格以药厂或医院即时通知为准 (通常以下调为主)现碧康公司主要产品均有下调,具体请咨询健康顾问17521780360,400-100-3607
。
1
ROS1基因突变靶向治疗
ROS1易位或重排发生在约1%至2%的NSCLC患者中,并且通常仅在具有非鳞且从不吸烟的年轻非小细胞肺癌患者中发生。
目前,只有crizotinib(Xalkori)被FDA批准用于治疗ROS1阳性NSCLC 患者,但最终会对克唑替尼产生耐药性并出现进展,最常见的是中枢神经系统(CNS)转移,约50%至60%的患者出现进展。
两种下一代TKI正在开发用于治疗ROS1突变的NSCLC 患者:ceritinib(Zykadia)、entrectinib、。
ceritinib(Zykadia)
大家都知道,Ceritinib已被批准用于治疗ALK改变的患者,研究人员发现Ceritinib还显示出抗ROS1活性。
在韩国进行的32例ROS1重排患者的II期研究中,Ceritinib在未接受克唑替尼治疗的患者中达到了67%的客观缓解率(ORR)。中位PFS为19.3个月。值得注意的是,该研究最初旨在纳入具有crizotinib耐药的NSCLC患者,然而两例crizotinib耐药患者显示临床效果很差,因此研究者据此修改了研究方案,严格筛选未经crizotinib治疗的患者入组。
Entrectinib(RXDX-101)
Entrectinib是一种针对ALK,ROS1和NTRK的广谱抗癌药,虽然尚未获得FDA批准,但是根据目前的临床数据,它可能会在不久的将来获得批准。
在ROS1阳性NSCLC患者队列中,entrectinib显示中位无进展生存期为19.0个月。基线时有中枢神经系统疾病的患者的中位PFS为13.6个月,无中枢神经系统疾病的患者中位PFS为26.3个月。无脑转移组客观缓解率(ORR)为77%,脑转移组客观缓解率(ORR)为55%。详情点击:
抗癌新药RXDX--101最新数据出炉!针对ROS1/MET/TRK多种突变癌症有效!
Lorlatinib(劳拉替尼)
Lorlatinib是第三代ALK / ROS1抑制剂,最近获得FDA批准用于治疗先前接受过第二代ALK TKI 治疗的ALK阳性NSCLC 患者。最近的研究显示,在ROS1-重排的NSCLC中,lorlatinib不仅可以对抗耐药性突变,还可高效对抗脑转移。
在II期临床试验的队列中,lorlatinib在34例克唑替尼预处理患者中治疗的客观缓解率ORR为26.5%,47.1%的患者病情稳定。中位无进展生存期为8.5个月(95%CI,4.4-18.0),尚未达到中位反应持续时间。此外,19例CNS疾病患者的颅内客观缓解率ORR为52.6%。
除此之外,repotrectinib,DS-6051b,brigatinib(Alunbrig)和cabozantinib(Cabometyx),都显示出治疗ROS1重排患者的临床前活性,我们期待进一步的临床试验数据。
2
BRAF基因突变靶向治疗
NSCLC 中BRAF突变的比例总体上仅为3%至5%,目前仅有V600E突变的临床试验数据,占NSCLC的约1%至2%主要见于腺癌,与年龄或吸烟史等临床特征无关。
在一项发表在柳叶刀的II期试验中,84名患者接受dabrafenib(Tafinlar)单药治疗的BRAF V600E突变晚期NSCLC 患者的客观缓解率为33%(95%CI,23%-45%),中位PFS为5.5个月(95%CI,3.4-7.3)。证实dabrafenib对存在BRAF V600E突变的患者具有良好的抗肿瘤活性,可为这部分患者提供新的治疗选择。
与大多数其他致癌基因驱动的肺癌不同,V600E需要BRAF和MEK抑制的组合方法。
一项研究中,dabrafenib联合trametinib(Mekinist)在先前治疗的BRAFV600E突变肺癌患者中的客观缓解率为63%,疾病控制率为88%,中位无进展生存期为9.7个月,临床抗肿瘤活性显著,与Dabrafenib单药治疗BRAFV600E突变NSCLC的结果进行间接比较,联合方案具有较高的ORR。
该组合于2017年6月被批准用于治疗BRAF V600阳性晚期或转移性NSCLC 患者。但是,这种组合的毒性也更大,53%的患者出现显著的1/2级发热。
3
NTRK基因突变靶向治疗
在NSCLC的致癌驱动因素里面,NTRK可谓是“最新的宠儿”。患者可能存在NTRK改变和NTRK融合,值得注意的是,融合才是肿瘤学家应该关注的真正重要的致癌改变。而在NSCLC中,NTRK融合的频率约为1%至3%。
Larotrectinib于2018年11月获得FDA批准,用于治疗患有NTRK遗传融合但没有已知获得性抗性突变的成人和儿童患者。该批准基于来自3个I / II期临床试验的数据,这些试验通过研究者评估共同证明客观缓解率达到80%。
4例接受拉罗替尼治疗的NTRK基因融合的NSCLC患者中3例都出现持续反应(从8.21到> 20.27个月)
一位45岁的大姐诊断患有IV期NSCLC腺癌,肝脏和纵隔转移以及肥厚性骨关节病(HOA)症状,她曾接受过以前的铂类和培美曲塞治疗。
基因检测发现,NTRK融合基因,接受larotrectinib100 mg每日两次,出现快速反应,表现为第1周期(研究第8天)HOA症状,咳嗽和疲劳的改善以及第3周期完全没有咳嗽。第54天出现部分反应。反应持续时间> 12.88个月。
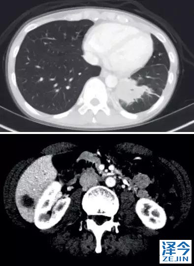
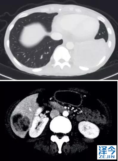
一位77岁的女性患有EPS15-NTRK1 IV期非小细胞肺癌,我们可以看到她的双肺满是病灶,并且出现了肝脏和脑转移,可以说是非常非常晚期了,
既往有乳腺癌史;
既往症状有厌食,乏力,咳嗽,高脂血症;
ECOG 1;
没有接受手术,放疗或化疗。
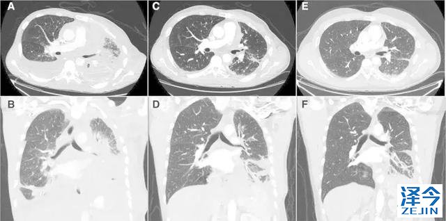
开始使用larotrectinib 100 mg BID并持续治疗,
第3周期开始:
肺靶病变达到缓解,我们可以明显的看到前后的图像,病灶明显缩小了,
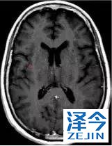
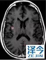
脑转移病变显示缩小了95%!
初始, 2018年6月 3周期 2018年8月
因此,只要你经过基因检测,存在
NTRK1、NTRK2或者NTRK3基因融合,理论上都是适合的!如果不出意外,根据官网的消息,这款药将于11月26日上市,让我们迎接它的到来吧!
最后,Rossy提醒大家,一般检查融合基因需要使用二代基因检测技术。而且一定注意是NTRK基因与其他基因融合发生的突变,而不是一个随便的点突变。
全球顶尖的基因检测公司凯瑞思和Foundation Medicine最近也研发了Foundation One CDx用于NTRK融合检测,想了解的患者可以致电上海泽今健康网医学部咨询。
详情点击:传奇抗癌药LOXO-101公布非小细胞肺癌最新临床数据!
目前正在开发的其他NTRK抑制剂包括entrectinib,repotrectinib(tpx-0005)和DS-6051b。
结语
现在,我们有很多的治疗选择。肿瘤学家可以更精准地选择具有更好结果和更好耐受性的疗法,对患者来说更是一件好事。越来越多肺癌患者将在科学指导和精准医疗指导下,合理地轮换药物。延长生存期,长期带瘤生存,将肺癌变成慢性病的梦想已经照进现实。
而对于肺癌患者,前期基因检测是绝对必要的。有助于选择化疗方案(这将是大多数患者的选择)及靶向治疗方案。还需要进行免疫组织化学研究来了解PD-L1水平等,当然,还要找到基因靶点,需要对靶标和TMB进行全面的分析。NCCN指南已经明确建议肺癌患者接受全基因组测序,全面检测突变靶点,而不是个别常见的靶点如:EGFR/ALK等。如何选择基因检测公司,请参阅:盘点|知名癌症基因检测公司排名!
我们处在一个充满奇迹的时代,快速发展的医疗科技给人类带来了新的希望。
曾经,癌症是不治之症。但随着抗癌手段的不断更新,尤其是分子靶向药物等新一代治疗方法的出现,人类全面战胜癌症的那天不再遥不可及,让我们一起见证这一天的来临!
参考资料:
https://www.onclive.com/conference-coverage/winter-lung-2019/treatment-options-expand-for-ros1-braf-and-ntrk-alterations-in-nsclc
扫描二维码分享到微信